
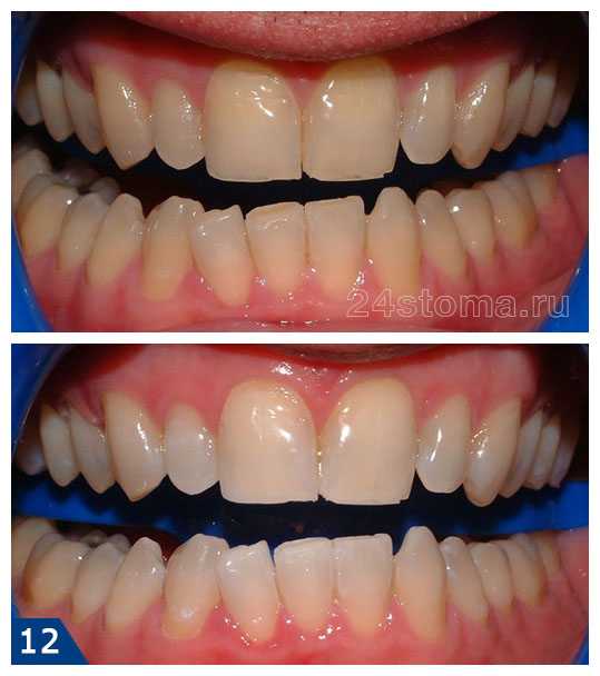
Система Zoom 4 – одна из самых современных профессиональных методик отбеливания зубов, применяемая в стоматологии. По официальным данным производителей, эта технология позволяет осветлить эмаль на 6–8 тонов за одну процедуру, что значительно превышает возможности многих аналогичных систем.
Эффективность достигается благодаря использованию активного геля с 25-30% содержанием перекиси водорода и специализированной LED-лампы, стимулирующей реакцию отбеливания. Продолжительность процедуры составляет около 45 минут, что обеспечивает интенсивное, но при этом контролируемое воздействие.
Результат зависит от изначального оттенка зубов, индивидуальной чувствительности и соблюдения рекомендаций по уходу после сеанса. В ряде случаев возможно повторное применение для достижения максимального эффекта, однако интервал между процедурами должен составлять не менее двух недель.
На сколько тонов осветляет зубы система Zoom 4
Система Zoom 4 позволяет осветлить зубы на 6-8 тонов за одну процедуру. Этот показатель зависит от исходного оттенка зубов и индивидуальных особенностей эмали. Максимальный эффект достигается при прохождении полного курса, включающего подготовительный этап и три последовательных сеанса с применением светового активатора и геля с перекисью водорода концентрацией до 25%.
Для пациентов с интенсивной желтизной или курильщиков осветление может составлять от 4 до 6 тонов, а при более светлом базовом цвете – до 8 тонов. Эффективность также повышается при соблюдении рекомендаций по уходу после процедуры, включая ограничение употребления красящих продуктов и отказ от курения.
Результат сохраняется в среднем от 12 до 24 месяцев при регулярном профессиональном контроле и поддержании гигиены. Для повторного отбеливания допускается интервал не менее 6 месяцев, что обеспечивает безопасное воздействие на зубную эмаль.
Принцип действия системы Zoom 4 при отбеливании зубов
Система Zoom 4 основана на применении высококонцентрированного геля с 25–35% перекиси водорода, который активируется специальной LED-лампой с длиной волны около 405 нм. Лампа усиливает процесс распада молекул перекиси, высвобождая активный кислород, проникающий в структуру зубной эмали и эффективно разрушая пигментные пятна.
Процедура состоит из нескольких циклов по 15 минут, обычно 3-4 цикла за один сеанс. Общая продолжительность процедуры – до часа, что обеспечивает глубокое и равномерное осветление. Zoom 4 позволяет осветлить зубы на 6-8 тонов без существенного повреждения эмали при правильном выполнении.
Для минимизации чувствительности зубов перед нанесением геля используется защита десен и нанесение десенситайзеров после процедуры. Повышенная концентрация перекиси требует точного соблюдения техники нанесения и времени экспозиции, чтобы избежать ожогов и раздражений.
Результаты сохраняются от 1 до 3 лет при соблюдении рекомендаций по уходу и отказе от окрашивающих продуктов. Для поддержания эффекта рекомендуется периодическое применение домашних отбеливающих капп с менее концентрированными средствами.
Среднее количество тонов осветления при применении Zoom 4

Система Zoom 4 обеспечивает осветление зубов в среднем на 6–8 тонов за один сеанс. Результат зависит от исходного оттенка эмали и индивидуальных особенностей пациента.
- При исходном уровне окрашивания от A3 и темнее ожидается повышение светлоты на 7–8 тонов.
- Для оттенков светлее A3 обычно достигается осветление на 5–6 тонов.
- Результаты варьируются в зависимости от толщины эмали и присутствия внутренних пятен.
Для максимального эффекта рекомендуется соблюдать предсеансовую подготовку:
- Профессиональная чистка зубов за 1–2 дня до процедуры.
- Избегание употребления красящих продуктов минимум 48 часов после осветления.
- Использование рекомендованных стоматологом реминерализующих средств.
Следует учитывать, что повторные процедуры Zoom 4 могут увеличить эффект осветления на 1–2 тона, но интервал между сеансами должен составлять не менее 2 недель для безопасности эмали.
Факторы, влияющие на результат отбеливания системой Zoom 4

Состояние эмали и дентинного слоя – чем меньше повреждений и микротрещин, тем эффективнее осветление. Поврежденная эмаль может снижать проникновение активного кислорода, что уменьшает эффект.
Исходный оттенок зубов – системы Zoom 4 позволяют осветлить зубы в среднем на 5-7 тонов, но при сильно выраженной желтизне или сером оттенке результат будет менее заметен.
Возраст пациента – у молодых людей эмаль более пористая, что способствует глубокой пенетрации геля и более выраженному отбеливанию. У пожилых пациентов тонкий дентин и истончённая эмаль ограничивают результат.
Глубина и тип пигментации – поверхностные пятна устраняются быстрее. Внутренние, вызванные медикаментозными или травматическими причинами, требуют дополнительных процедур или комбинированных методик.
Продолжительность экспозиции геля – стандартная процедура Zoom 4 рассчитана на три 15-минутных цикла. Увеличение времени не всегда повышает эффективность и может усилить чувствительность зубов.
Соблюдение рекомендаций после процедуры – отказ от красящих продуктов в течение минимум 48 часов способствует закреплению результата. Нарушение диеты снижает стойкость осветления.
Использование вспомогательных средств – применение реминерализующих гелей и паст после отбеливания поддерживает целостность эмали и предотвращает рецидив пигментации.
Сравнение системы Zoom 4 с другими методами отбеливания
Система Zoom 4 обеспечивает осветление зубов на 6–8 тонов за один сеанс продолжительностью около 45 минут. Этот результат достигается за счет применения светочувствительного геля с высокой концентрацией перекиси водорода (около 25–35%) и активации его специальной лампой. В отличие от классического отбеливания капами с домашним применением, где концентрация перекиси обычно не превышает 10–15%, Zoom 4 позволяет достичь более значимого результата за существенно меньшее время.
Отбеливание лазером и фотоотбеливание также используют высокие концентрации активных веществ и световую активацию, но Zoom 4 отличается оптимизированной формулой геля, которая снижает чувствительность зубов и риск повреждений эмали. Лазерные методы могут быть более агрессивны и требуют большего контроля со стороны специалиста.
Домашние отбеливающие системы, в том числе отбеливающие полоски и гели, имеют преимущество в удобстве и низкой стоимости, однако их эффективность ограничена. Осветление на 2–3 тона при регулярном применении занимает от 1 до 2 недель, в то время как Zoom 4 достигает результата сразу.
В целом, Zoom 4 оптимален для пациентов, которым требуется быстрое и заметное улучшение оттенка зубов с минимальным дискомфортом. Для поддержания результата рекомендуется сочетать профессиональное отбеливание с домашними средствами низкой концентрации и избегать продуктов, способствующих повторному окрашиванию.
Рекомендации по подготовке к процедуре Zoom 4

Для максимальной эффективности отбеливания Zoom 4 требуется тщательная подготовка, которая включает следующие шаги:
- Профессиональная гигиена полости рта. За 1–2 дня до процедуры необходимо удалить зубной налет и камень у стоматолога, чтобы избежать помех в работе отбеливающего геля и обеспечить равномерное осветление.
- Отказ от продуктов, содержащих красители, минимум за 48 часов до процедуры: кофе, чай, красное вино, свекла, ягоды. Это снижает риск проникновения пигментов в структуру эмали и обеспечивает более чистый результат.
- Отсутствие кариеса и воспалений. Перед процедурой следует устранить все очаги инфекции, провести лечение кариеса и санацию десен, поскольку отбеливание может усилить чувствительность и воспалительные процессы.
- Не использовать зубные пасты с абразивами или отбеливающими компонентами за 2 недели до процедуры, чтобы избежать излишнего истончения эмали.
- Избегать курения за 24 часа до сеанса. Никотин влияет на цвет зубов и ухудшает результат отбеливания.
- Сообщить стоматологу о любых хронических заболеваниях и принимаемых лекарствах, которые могут повлиять на чувствительность зубов и тканевых реакций.
Соблюдение этих рекомендаций обеспечивает достижение максимального осветляющего эффекта до 8 тонов, которые позволяет система Zoom 4, и снижает риск осложнений после процедуры.
Продолжительность и количество сеансов для максимального осветления

Одна процедура Zoom 4 длится около 45–60 минут. За это время происходит три цикла нанесения геля и активации лампой, каждый по 15 минут. В некоторых случаях добавляют четвёртый цикл, если ткани хорошо переносят воздействие и отсутствует выраженная чувствительность.
Для большинства пациентов достаточно одного сеанса, чтобы осветлить зубы на 6–8 тонов по шкале VITA. При выраженном потемнении эмали или стойких внутренних пигментах может потребоваться второй сеанс через 2–4 недели. Повторять процедуру чаще не рекомендуется из-за риска повышения чувствительности и раздражения дёсен.
Перед проведением осветления обязательно пройти профессиональную гигиену и консультацию. Наличие налёта и зубного камня снижает эффективность Zoom 4. Курильщикам и любителям напитков с высоким содержанием красителей (кофе, чай, вино) может потребоваться больше времени для достижения стойкого результата.
Максимальный эффект сохраняется при условии соблюдения рекомендаций: использование индивидуальных кап с поддерживающим гелем дома, отказ от окрашивающих продуктов в первые 48 часов, регулярная гигиена.
Возможные ограничения и противопоказания для отбеливания Zoom 4
Система Zoom 4 не применяется при наличии кариеса, трещин эмали, пародонтита и несанированных зубов. Перед процедурой требуется полная санация полости рта.
Отбеливание не рекомендовано при гиперчувствительности эмали. В таких случаях возможно усиление боли после сеанса. При наличии трещин в эмали возрастает риск раздражения пульпы.
Процедура противопоказана беременным и кормящим женщинам из-за отсутствия исследований, подтверждающих безопасность перекиси водорода в этот период.
Не проводится у детей и подростков младше 18 лет. Формирование эмали у них ещё не завершено, что повышает риск повреждений.
Пломбы, коронки, виниры и другие реставрации не изменяют цвет при отбеливании. Это может вызвать заметный контраст между осветлёнными зубами и искусственными материалами.
При аллергии на перекись водорода, содержащуюся в геле, Zoom 4 не используется. Реакции могут включать отёк, жжение, зуд слизистой.
Пациентам с бруксизмом, эрозией эмали или повышенной стираемостью зубов отбеливание может быть показано только после консультации с врачом и под контролем специалиста.
Уход за зубами после процедуры Zoom 4 для сохранения результата
В течение первых 48 часов после процедуры Zoom 4 необходимо исключить продукты, содержащие красящие пигменты: кофе, черный чай, красное вино, свеклу, ягоды, соевые и томатные соусы. Также следует избегать курения, так как никотин быстро впитывается в ослабленную эмаль.
Гигиена рта должна включать щадящую чистку зубов щеткой с мягкой щетиной дважды в день и использование отбеливающей пасты без абразивов. Рекомендуется ополаскиватель без спирта, чтобы не пересушивать слизистую.
Желательно использовать индивидуально подобранные капы с гелем, рекомендованным стоматологом, раз в 1–2 месяца для поддержания результата. Это особенно актуально при высокой склонности эмали к потемнению.
Раз в полгода стоит проходить профессиональную чистку, чтобы удалять налет и камень, которые со временем могут влиять на оттенок эмали. Осмотр у стоматолога позволяет оценить сохранность результата и, при необходимости, скорректировать уход.
Не рекомендуется употребление кислых продуктов и напитков сразу после процедуры: лимонов, газировки, уксуса. Кислоты могут увеличить чувствительность и ускорить потемнение эмали.
При появлении повышенной чувствительности зубов допустимо временное использование реминерализующих гелей, содержащих фтор или гидроксиапатит кальция. Их применение согласуется с врачом.
